Vorige week presenteerden twee Duitse pathologen de resultaten van autopsies op lichamen van mensen die waren overleden na de coronavaccinatie. Eén van hen, professor Arne Burkhardt, leidde 18 jaar lang het pathologisch instituut in Reutlingen. YouTube verwijderde de beelden van de persconferentie.
Medisch deskundige Jane Ruby bekeek de persconferentie en vond de beelden die ze lieten zien ‘absoluut schokkend’. Er waren bijvoorbeeld grote concentraties witte bloedcellen te zien die vreemde voorwerpen en ontstekingen bestreden. Zulke grote concentraties hadden ze ‘nog nooit gezien’.
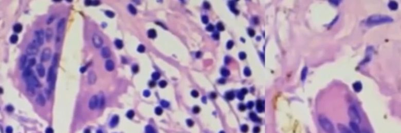
Roestvrij staal met hele scherpe, gekartelde randen
Daarnaast werden de resultaten gepresenteerd van onderzoek naar de vaccins zelf. Men trof in de vaccins onder andere roestvrij staal aan met hele scherpe, gekartelde randen. In elke druppel die ze analyseerden, ontdekten ze honderden van deze piepkleine roestvrij stalen voorwerpen, zei Ruby in de Stew Peters Show.
De roestvrij stalen voorwerpen werden in het lichaam aangevallen door talloze witte bloedcellen. Er ontstond vervolgens een cytokinestorm, een potentieel dodelijke reactie van het lichaam waarin te veel cytokinen uitgescheiden worden die een ontstekingsreactie veroorzaken. De patiënten zijn overleden aan de gevolgen van de cytokinestorm en de schade die het metaal in het lichaam teweegbracht.
Dit is ongekend
Dr. Ruby liet ook een foto zien van een lymfeklier die tijdens de autopsie bij één van de overledenen was weggehaald. Normaal gesproken zijn ze ongeveer zo groot als een erwt. Ze toonde een gezwollen lymfeklier die maar liefst drie centimeter lang is. “Dit is ongekend. Deze experts hebben nog nooit zoiets gezien,” zei ze.
Haal alsjeblieft geen boostervaccin en houd je kinderen uit de buurt van deze prik, benadrukte dr. Ruby.
Blijf op de hoogte & steun onafhankelijke journalistiek
Even voor je naar X gaat
X (voorheen Twitter) toont onze berichten alleen aan ingelogde gebruikers. Als je niet bent ingelogd bij X, krijg je de melding dat @9fornews nog niets heeft gepost — dat klopt niet, ons account is gewoon actief. Log dus in bij X.






Het Pact for the Future van de VN bevat een ‘huiveringwekkend’ aanhangsel dat weg plaveit naar ‘digitale goelag’
Fraude? ‘Onverklaarbaar veel stemmen voor D66 in Ede’
Nieuw ontdekte ruimtelichten zijn mogelijk tekenen van aliens, zeggen deze wetenschappers
Dit GroenLinks-PvdA-Kamerlid roept op tot censuur nu Meta stopt met ‘factchecks’: ‘De maskers vallen wel af, zeg’
VIDEO: België in de ban van vreemd cirkelvormig object
BRICS-landen omzeilen Wereldbank en IMF met nieuwe bank
Basisschool in New York schaft huiswerk af, vertelt leerlingen dat ze moeten spelen
“Word wakker!”: Filmmaker waarschuwt dat Amerika in een communistisch land verandert
Alleen FVD is voor vrede, de rest wil oorlog: ‘Wat is er in godsnaam aan de hand met dit land?’